Family Dentistry
We want to help you and your family get the care you need in a way that’s comfortable and convenient.
We believe that life is too short to be in dental pain or dissatisfied with your smile. Our dental care services can help you enjoy life and thrive. With over 20 years of experience, our team of dental professionals is proud to provide top-notch family and general dentistry services to residents of the Orinda, California, area.
We don’t just care about your teeth; we care about you.

We accept CareCredit and offer additional financing options to make dentistry affordable for you.
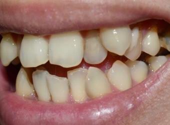
This patient came in for a routine checkup and Dr. Ellis noticed her filling had fallen out. The patient wasn't aware that her filling had come loose, indicating an underlying cavity. It was quite deep, but we proceeded to fill it, and caught it early enough that she was in no pain and it wasn't a complicated fix. After filling it looked like she had a brand new tooth!
Wow, it's remarkable. A patient with a lower left molar came in for a routine exam and reported feeling no pain. Upon examination, Dr. Ellis detected a crack. Dr. Ellis advised the patient that a crown might be necessary. However, upon closer inspection, it turned out that only a filling was needed, saving both money and the tooth!